ホワイトスポット&
ホワイトバンドとは?

歯の一番表層のエナメル質表面に※問題が生じたことにより、ホワイトスポット(白い点状)やホワイトバンド(帯状の模様)が認められることをいいます。

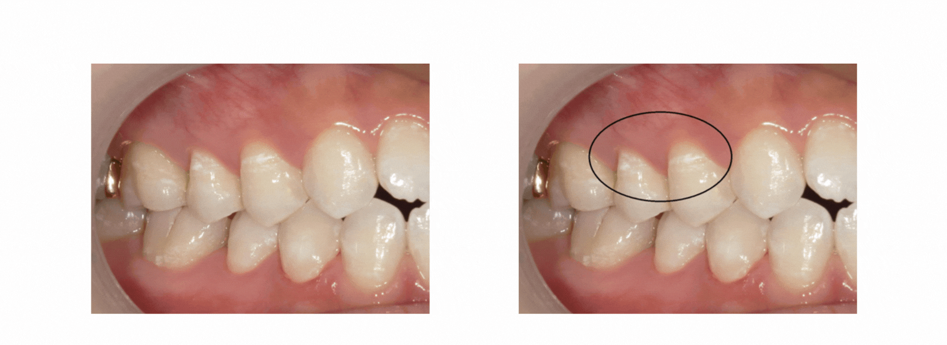
実際のホワイトスポット


&ホワイトバンドとは?

このようなホワイトスポット&ホワイトバンドは、白さの深度により症状が異なります。

エナメル質発育不全

歯の一番表層のエナメル質が作られる過程で問題が起こってしまった状態のことをいいます。

歯の形や構造に問題が起こってしまったものを「エナメル質減形成」または「エナメル質形成不全」といいます。
※「エナメル質減形成」または「エナメル質形成不全」 歯の一番表層のエナメル質が通常よりも薄くなっていたり、部分的に欠けているような状態をいいます。


石灰化が不十分であった場合を「エナメル質石灰化不全:歯が白くなります」といいます。
エナメル質石灰化不全 →歯の一番表層のエナメル質に問題が生じて、うまく作られなかった結果、変色(白色、茶色など)している状態のことです。

局所的因子

  • 顎の骨の中で永久歯が作られている最中に、乳歯に大きな虫歯が出来てしまい炎症を起こした(ターナーの歯)場合
  • ケガなどで前歯辺りを強くぶつけてしまった場合
  • 歯磨きが不十分により歯の表面が弱くなってきてしまった場合
  • 歯がもともと弱くホワイトニングを行った場合

このような場合に起こる可能性がございます。1~2本など少数で認められるケースが多いです。


全身的原因

  • 急性熱性疾患
  • 内分泌障害
  • 出産
  • ビタミン過不足
  • 無機物の過不足(フッ素を過剰摂取した場合は、「斑状歯」といいます)
  • 先天性梅毒(ハッチンソンの歯、フルニエの歯)など

このようにお母さんのお腹の中で成長中に問題が発生した場合や、永久歯が顎の骨の中で作られている期間中に問題が起こったことが原因となります。複数本など多数同時に認められるケースが多いです。


遺伝的因子

御家族の方(特にお父さん、お母さん)が、エナメル質発育不全の場合、遺伝する可能性があります。

ホワイトスポット&ホワイトバンド治療のタイミングについて

当院では、永久歯の成長状態を必ず検査にて確認させて頂きます。
検査後に、問題が無ければ、患者様のご希望の上、治療を行わせて頂きます。

治療をお控え頂く条件

①乳歯
②生えたての永久歯

以上が該当致します。
生えたての永久歯に関しましても、成熟するまでお待ち頂けましたら治療が可能となりますので、ご理解頂けましたら幸いです。
(個人差がございますが、該当する永久歯が生え始めてから、およそ2年程で本来の状態まで成長致します。)

ホワイトスポット&ホワイトバンド治療の効果について

歯磨きが不十分な結果として、部分的に歯が白くなってしまったケースや、ホワイトニング後に認められてしまったようなケースでは、表層付近のエナメル質に問題が生じてしまっていることが多く、比較的、改善しやすい傾向です。乳歯の炎症の影響や、ケガ、遺伝的な要因の可能性が高い場合は、エナメル質の深いところまで問題が生じていることが多く、治療効果としては、難しいこともございます。
もともとの歯の強さや、様々な原因により個人差が大きく分かれる治療となっております。

当院のホワイトスポット&ホワイトバンド進行度別による治療とは?

当院では、3種類のメニューをご用意させて頂いております。お気軽にご相談ください。

軽度症例の場合

アイコン

歯を削ることなく、歯の表面から薬液を浸透させることで、色合いを改善させていく 方法となります。海外では、以前より行われていた方法となりますが、日本では、近年、ようやく認められた治療となります。症例は、限られてしまいますが、「歯にとてもやさしい治療」となっております。

軽度~中等度症例の場合

CR(コンポジットレジン:白いプラスチックの詰め物)※虫歯の場合

日本でも以前より行われております一般的な方法で、歯の白くなっている部分を一層削り、削った表面に歯の色合いに近いCR(コンポジットレジン:白いプラスチック)を詰めて改善させていく治療方法となっております。
MI(Minimal Intervention):最小限治療に適しております。詳細につきましては下記の虫歯治療専用HPをご覧ください。

軽度~重度まで
審美性を求められる場合

オールセラミッククラウン

歯の表面にできてしまった白い点や白い帯など、様々なケースがございますが、アイコンやCR(コンポジットレジン)治療に適応しない場合や、より見た目を自然な状態に回復されたいなどの審美的な改善をご希望される場合は、オールセラミッククラウン治療がおすすめとなります。歯を削って整えて、最終的に被せる治療となりますが、当院では、完全オーダーメイドとなっておりまして、患者様がお望みの形や色合いに仕上げられるよう、世界品質の素材を使用し、セラミスト(セラミック専門熟練技工士)の手により唯一無二の逸品をご製作させて頂きます。詳細につきましては下記のセラミック治療専用HPをご覧ください。

イエロースポット、ブラウンスポットについて

ホワイトスポット(白い点)の他にもイエロースポット(黄色い点)、ブラウンスポット(茶色い点)など条件により認められることがあります。
その際は、「アイコン」による治療を行う前に、黄色や茶色などの色素を除去するため、ホワイトニングを行って頂く必要性がございます。
一般的には、ホワイトニングにて内部まで薬液を染み込ませ、色素を分解致します。
お悩みの際は、ご遠慮なくご相談ください。