
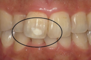
ホワイトスポット
ホワイトバンドとは
歯の一番表層のエナメル質表面に※問題が生じたことにより、ホワイトスポット(白い点状)やホワイトバンド(帯状の模様)が認められることをいいます。
ホワイトスポット&ホワイトバンド
治療へのこだわり




症例のご紹介
よくある質問
Q&A
-
「アイコン」による治療は、どのような歯に治療できますか?
-
主に軽度のホワイトスポット&ホワイトバンド症例が対照となります。
中等度~重度症例に関しましても、治療を行うことは可能ですが、 ご期待して頂いた以上の治療効果が得られにくいことが欠点となります。
当院では、状態を確認させて頂いた上で、最適な治療方法をご提案させて頂いておりますので、お悩みの際は、ご遠慮なくご相談ください。
詳細につきましては、「ホワイトスポット&ホワイトバンド治療」の項目をご覧頂けましたら幸いです。
-
「アイコン」で治療ができないことはありますか?
-
ございます。
①重度のホワイトスポット&ホワイトバンド(イエロースポット、ブラウンスポット)
②歯が欠けているようなケース
③奥歯の咬む面
④虫歯により穴が空いているケース
⑤一度、部分的に削ってCR(コンポジットレジン:白いプラスチックの詰め物)を詰めてあるようなケース
以上のようなケースでは、治療効果が得られません。
その場合、「アイコン」による治療は、できませんが、他には、
①CR(コンポジットレジン:白いプラスチックの詰め物)治療
②被せ物による治療(審美的に改善されたい場合は、オールセラミッククラウンがおすすめです)の治療方法がござますので、お悩みの際は、ご遠慮なくご相談下さい。
CR治療および被せ物による治療の詳細につきましては、ゆのきざわ歯科医院「虫歯治療専用HP」「セラミック治療専用HP」をご覧頂けましたら幸いです。
-
「アイコン」の治療時間や通院回数はどのくらいかかりますか?
-
1回の治療時間は、30分~1時間程で、1日で治療を完了できます。
また、1回当たりのお時間に関しましては、治療される歯の本数により異なりますので、ご了承下さい。
イエロースポット(黄色い点)やブラウンスポット(茶色い点)など、ホワイトスポット内に認められた際は、「アイコン」による治療の前に、ホワイトニングにより染まってしまった歯の内部の色素を分解除去する必要性がありますので、オフィスホワイトニング1回、ホームホワイトニングを併せたデュアルホワイトニングをおすすめしております。デュアルホワイトニングを先行して治療させて頂く場合は、診療回数が2回、期間が最短で2週間程、追加となりますので、ご理解頂けましたら幸いです。
-
「アイコン」治療に年齢制限はありますでしょうか?
-
年齢で制限はしておりません。歯の成長具合を確かめながら判断いたしております。
詳細につきましては、「ホワイトスポット&ホワイトバンド治療」内の「ホワイトスポット&ホワイトバンド治療のタイミングについて」をご覧頂けましたら幸いです。
-
「アイコン」治療後に注意することはありますか?
-
注意事項がございます。
詳細は「注意事項」内の「治療後の注意事項」についてご覧頂けましたら幸いです。
-
「アイコン」治療は、痛いでしょうか?
-
基本的には痛みが出るような強い薬剤は使用しておりませんので、ご安心ください。
ただし、稀に歯の状態によっては、知覚過敏症状を自覚されることがございます。
-
治療後に注意しなければならないことはありますか?
-
はい。注意点がございます。
詳細につきましては、「注意事項」をご覧頂けましたら幸いです。
-
ホワイトスポットは治した方が良いでしょうか?
-
痛みがある場合や、見た目が気になっておられるようであれば、治療をおすすめ致します。
また、日頃の磨き残しの量が多い程、大きな虫歯に発展していく可能性が高くなるため、念入りなブラッシングが必要となります。
-
ホワイトスポット&ホワイトバンドとは何ですか?
-
歯の表面に白い点や白い帯状の模様が出来てしまった状態です。
他にも、イエロースポット(黄色い点)、ブラウンスポット(茶色い点)などがございます。
いずれも、局所的因子、全身的原因、遺伝的因子がかかわっております。詳細につきましては、「ホワイトスポット&ホワイトバンド治療」をご覧頂ください。
-
ホワイトスポット&ホワイトバンド治療にはどのような治療方法がありますか?
-
当院では、症状に応じて3種類の方法をご提案させて頂いております。
詳細につきましては、「ホワイトスポット&ホワイトバンド治療」内の「当院のホワイトスポット&ホワイトバンド進行度別による治療とは?」をご覧頂けましたら幸いです。
-
イエロースポット(黄色い点)、ブラウンスポット(茶色い点)は何ですか?
-
ホワイトスポット(白い点)以外にも、歯の内部に黄色や茶色の色素が染まってしまっている状態です。
「アイコン」治療にて改善させる場合には、治療前に、ホワイトニングを行い、染まってしまっている色素を分解除去する必要性がございます。
お悩みの際は、お気軽にご相談ください。
他にも、ご不明点や歯のことでお悩みの際は、ご遠慮なくご相談下さい。
ホワイトスポット
ホワイトバンド
その他のコンテンツ
院長挨拶
この度は、ゆのきざわ歯科医院ホワイトスポット&ホワイトバンド治療専用ページをご覧頂きまして、誠にありがとうございます。歯の表面の白い点や白い帯状など、症状に応じて最良の治療プランをご案内させて頂いております。
患者様がいつも笑顔でいられるよう全力でサポート致します。
お悩みの際は、ご遠慮なく、ご相談下さい。
皆様の歯がより健康的になれますよう努力させて頂きます。
どうぞ宜しくお願い申し上げます。
ゆのきざわ歯科医院
院長 渡邊 和樹

YouTubeチャンネル

より多くの方にお口の健康の大切さを
当院では、お口の健康に関する情報を、より分かりやすく患者様にお伝えするために、YouTubeチャンネルを開設しております。かる~い気持ちでご覧になっていただけるように番組制作しております。下記ボタンよりご覧になっていただけますと幸いです。










