
| 治療方法 | ホワイトスポット&ホワイトバンド治療 |
治療内容
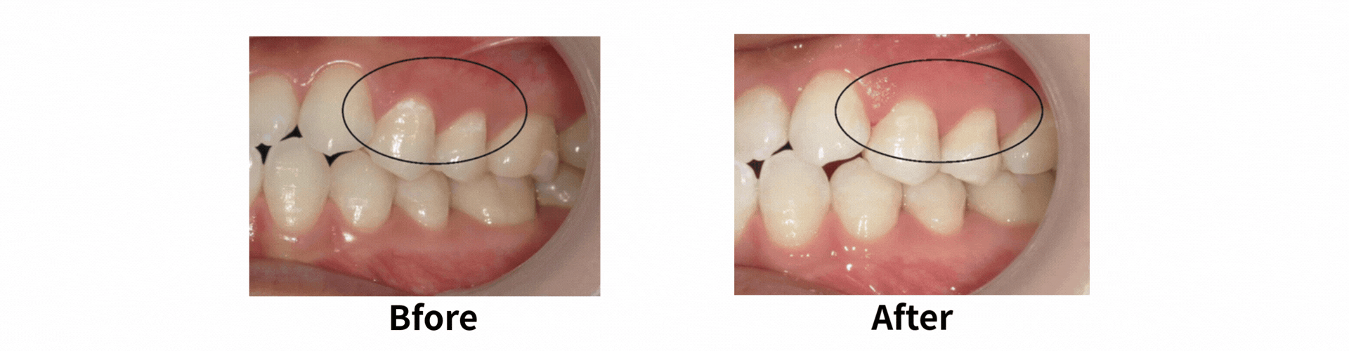
「アイコン」を使用した治療方法(軽度症例)
ホワイトスポット&ホワイトバンド治療とは、歯の表面に白くなってしまった点や帯状の模様に対して歯を削らずに改善を目的とした治療方法となっております。
院長コメント
今回のポイント
歯が生え始めた時には白い点や白い帯状はなく、時間の経過と共にホワイトスポット&ホワイトバンドが現れ始めた症例となっております。ホワイトニングを行ったことがある経緯を含め、診査・診断の結果より、表面的に浅い範囲での白さと判断させて頂きまして、軽度症例として歯を削らずに治療を行わせて頂いたこととなります。
また、以前に右上の小さい奥歯のホワイトスポット&ホワイトバンド治療を行っておりまして、今回は2回目となります。
お悩みポイント
お悩みとしましては、奥歯に認められた白い点や白い帯状の模様により、見た目の審美的問題が大きく生じていることでした。まずは、カウンセリングにて、ご希望されているイメージをお聞かせ頂き、ご相談後、「アイコン」によるホワイトスポット&ホワイトバンド治療をご選択されました。歯を削ることなく、歯と同じ色に回復させることができる
「歯にとてもやさしい治療」となっておりまして魅力を感じておられました。
※今回の症例では、症状が軽度であったため、治療効果として 大幅に改善させて頂くことができました。
治療方法
治療方法としましては、
①写真撮影
②歯の表面のクリーニング
③歯の白い部分の表面処理
④治療薬剤の塗布
⑤光照射(固めます)
⑥写真撮影
詳細につきましては、「治療の流れ」をご覧ください。
歯を削ることなく治療を行わせて頂きまして、天然の歯に近い色合いへ導くことができ、最高な笑顔に回復させて頂くことができました。
治療期間・通院回数
1日 1回(30分)
治療費
| 2本 総額 80,000円(税込 88,000円) |
内訳 2本セット
治療のリスク
①磨き残しによる虫歯の発生
②ホワイトニングを行った際に治療部位に色の変化に期待できないこと
③中等度~重度症例では、あまり効果に期待ができないこと
④穴が空いてしまっているような虫歯には効果がないこと
⑤奥歯の咬む面には効果がないこと
⑥治療中にまれに沁みるような感じを自覚される可能性があること
⑦自費治療扱いとなること
⑧長期間経過後に後戻りする可能性があること
⑨経年的な劣化により着色する可能性があること
どのような治療におきましても必ずリスクや副作用がございます。
当院では、少しでも回避できるよう全力で努力致しております。
ご理解頂けましたら幸いです。



