ホワイトスポット&ホワイトバンド

治療の流れ

治療前

問診(カウンセリング)

お口の状態、薬剤アレルギーの有無、ご希望の治療など問診にて細かくお聞かせ頂きます。
少しでも安心して治療をお受け頂けるようご協力の程、どうぞ宜しくお願い致します。

STEP
1

治療中

①歯のクリーニング

歯の表面に汚れが付いている場合、薬液の浸透に影響してしまうため、綺麗に汚れを除去させて頂きます。

②歯の表面乾燥

歯の表面処理を行いやすいように、しっかりと乾燥させます。

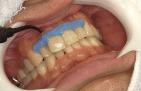
③歯茎の保護

歯茎に余剰のお薬が付着しないように保護材を使用しながらカバーします。

④歯の表面処理

歯の表面に表面処理剤を塗布させて頂きまして、樹脂系の薬剤が染み込みやすいように致します。

⑤水洗と乾燥

しっかりと表面処理剤を洗い流し、歯の表面を乾燥させます。

⑥浸潤材の塗布

樹脂系の薬剤が染み込みやすくするための薬剤を塗布します。

⑦自然乾燥待ち

歯の表面が乾燥するまで待ちます。

⑧樹脂系薬剤の塗布

ホワイトスポットまたはホワイトバンド部位に樹脂系の薬剤を浸透させます。

⑨光照射

歯の表面に光を当てることで、浸透させた樹脂系薬剤を硬化させます。

⑩2回目の樹脂系薬剤の塗布

再度、浸透させるために樹脂系薬剤を塗布します。

⑪光照射

再度、歯の表面に光を当てることで、浸透させた樹脂系薬剤を硬化させます。

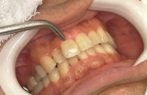
⑫歯茎の保護材除去

STEP
2

治療後

治療後の注意事項等をしっかりとご説明差し上げます。

STEP
3